YOUR FIRST CHIROPRACTIC VISIT:
WHAT TO EXPECT

If you're new to Chiropractic care, we'll guide you step-by-step so that you feel comfortable, informed and confident on your first visit at our Kallang or Telok Blangah Clinic

1. Consultation with our Chiropractor

Our Chiropractor will listen, discuss your pain points and clinical history to understand your health goals. A 4-view posture analysis will be done to check for any forward head posture, and imbalances in your body. 

2.Comprehensive spinal examination

These Chiropractic tests help us uncover potential issues while reinforcing our commitment to personalised, need-based care. 

3.Complimentary Treatment

Based on our initial findings, we will be able to provide a general introductory treatment which comes in the form of the Chiropractic Adjustment. Treatment is subjected to Chiropractor’s Discretion. 

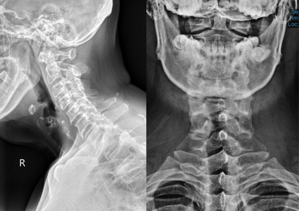
4.Spinal X-rays
(If Required)

In some cases, we may prescribe spinal X-rays to confirm the diagnosis. They tell us how severe the possible misalignments are, and if there are any complicating factors present.

5.Your Spinal health
review and follow up

We’ll walk you through the findings in a straightforward, transparent manner. If chiropractic care is right for you, we’ll recommend an action plan. If not, we’ll guide you toward the best alternative options.

Our Pricing

Watch our Patient Pritika's 8th Session Evaluation Session

RELIEVED

from stress, tensions, pains

RESPECTED

no upselling, no pressure – just expert care

RECONNECTED

with your body, health and well-being

Book your First Consultation with us

Name
Location
Preferred Timing (Select all that apply)
Weekdays 11am to 2pm, 3pm to 8pm Weekends 9am to 1pm, 2pm to 4pm
What can we help you with? (Select all that apply)
How did you find out about First Fruits Chiropractic?